Can Ultrasound Detect Miscarriage At 6 Weeks
Like most expectant parents they couldnt wait to see the first glimpse of their little one. The risk of miscarriage at six weeks gestation is also based on the heart rate noted on ultrasound.

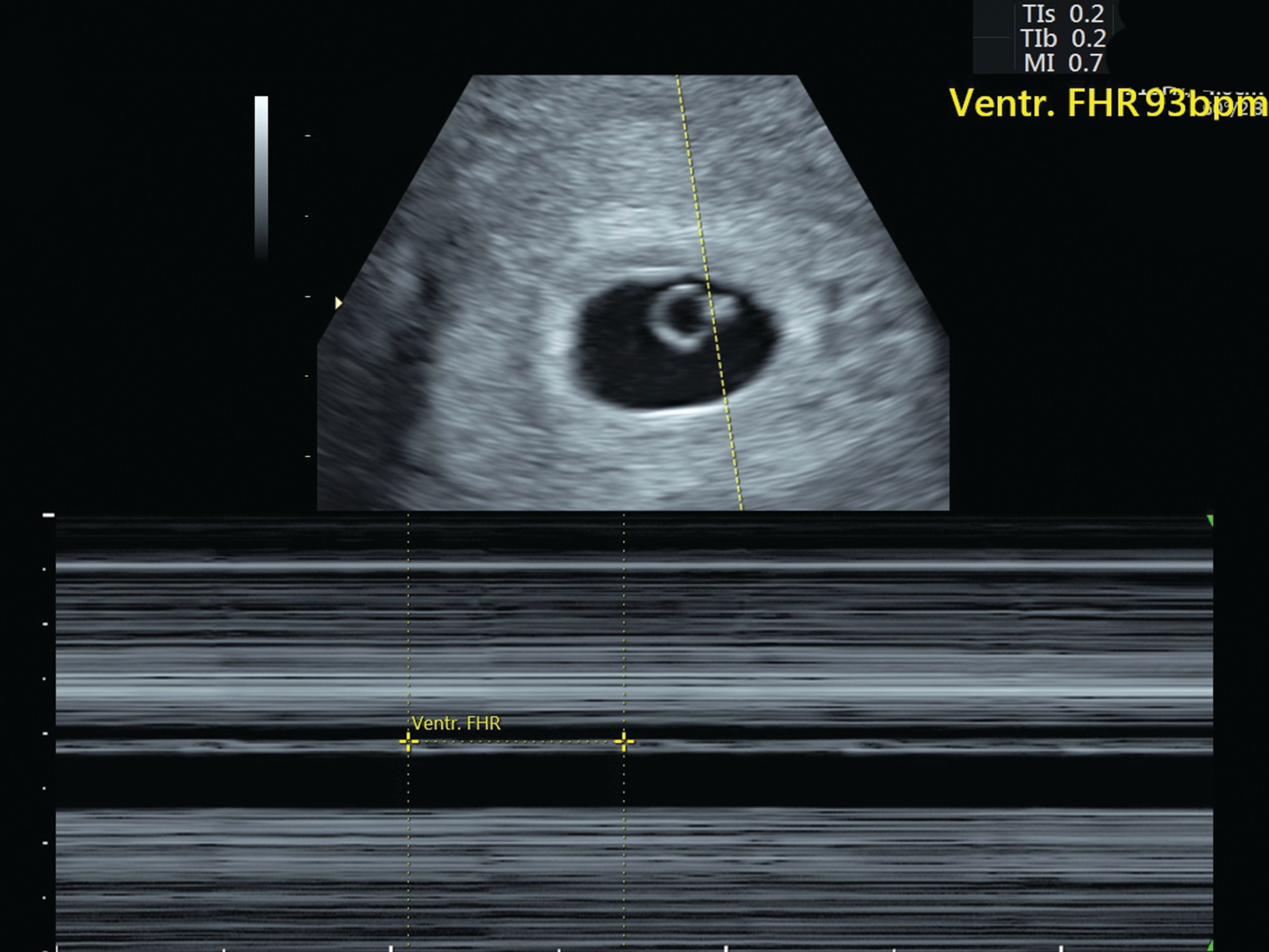
Ultrasound Is A Critical Tool Of Managing Miscarriage
The ultrasound scan however should be able.

Can ultrasound detect miscarriage at 6 weeks. However If someone has an incomplete miscarriage. At that time if the ultrasound does not show continued. A yolk sac can be seen at 5 12 weeks gestation.
Answers to common questions related to an ultrasound examIf an ultrasound is done at 6 to 7 weeks and a heartbeat is not detected does that mean there is a problem. Is it normal not to see baby on ultrasound 6 weeks. A yolk sac can be seen at 5 12 weeks and fetal pole small embryo seen at approximately 6 weeks.
In almost all cases miscarriage diagnosis at 6 weeks is hard to make and you will likely be asked to have another scan in a one or two weeks time. When youre 60 weeks pregnant your babys hearts should be beating. A twin ultrasound at 6 weeks needs to be done vaginally to detect twins this early in your pregnancy.
The pregnancy is a miscarriage. At 6 weeks you wont in general be able to see much detail of your baby. In addition if an earlier ultrasound revealed a fetal heartbeat and a subsequent ultrasound finds no heartbeat this also indicates a miscarriage.
At this point i would say your chances are about 5050. Answered Sep 5 2021. The doctor said he saw what looked like a small yolk.
At that time if the ultrasound does not show continued. While a woman may have only light bleeding and cramping another may bleed for several days. I just had my first ultrasound and should be about 6 12 weeks based on the first day of my last period.
Your doctor wants to know if its high in. Often seeing no yolk sac or a yolk sac that is smaller than normal or otherwise misshapen at 6 weeks can be a sign of miscarriage. Risk of Miscarriage according to Fetal Heart Rate.
An ultrasound examination can. An ultrasound scan may be able to detect a pregnancy and a heartbeat in a normal pregnancy at around 6 weeks but this varies a great deal and isnt usually advised. But if your dates are off a little it could be.
Be aware though that sometimes 6 weeks is too early to tell. Seeing no baby on the. Often seeing no yolk sac or a yolk sac that is smaller than normal or otherwise misshapen at 6 weeks can be a sign of miscarriage.
That is not all of the gestational sac comes way. What week does fetal pole appear. Often seeing no yolk sac or a yolk sac that is smaller than normal or otherwise misshapen at 6 weeks can be a sign of miscarriage.
The mere presence of a fetal heart rate is. Usually the physical process of a. Essentially the short answer is no.
No baby at 6 week ultrasound. Emily and her husband walked into their ultrasound appointment on cloud nine. Doctors usually wont advise an ultrasound at 6 weeks because it usually can show nothing or very little image of the fetus even for a perfectly normal pregnancy.
The ultrasound can locate where the embryo is implanted. Can you see a 6 week baby on abdominal ultrasound. All too often a scan at 6.
How long does a 6 week miscarriage last. A vaginal sonogram at 6 weeks and 4 days can usually see a heartbeat. The fetal pole is usually identified at 65 weeks with transabdominal ultrasound.
An abdominal ultrasound can detect a heartbeat at 6 to 8 weeks time. Falling levels of hCG human. Ultrasound scans can detect a fetal heartbeat at approximately 6-7.

Early Reassurance Scans When Pregnant After Miscarriage Madeformums

Confused Nothing On My Ultrasound 6 Weeks June 2019 Babies Forums What To Expect

Ultrasound Is A Critical Tool Of Managing Miscarriage

6 Weeks Pregnant Ultrasound Procedure Abnormalities And More

Ultrasound Is A Critical Tool Of Managing Miscarriage

Your 6 Week Ultrasound What You Can Expect To See

Ultrasound Is A Critical Tool Of Managing Miscarriage

Ultrasound Video Showing An Empty Gestational Sac In Pregnancy Of About 6 Weeks 2 Days Youtube

Ultrasound Is A Critical Tool Of Managing Miscarriage

Should I Get An Early Pregnancy Scan Madeformums

7 Weeks Pregnant Ultrasound Procedure Abnormalities And More

Early Pregnancy Ultrasound Measurements And Prediction Of First Trimester Pregnancy Loss A Logistic Model Scientific Reports
Tragically Wrong When Good Early Pregnancies Are Misdiagnosed As Bad Wbur News

Had My 6 Week Ultrasound Today Here S A Pic For Anyone Who Is Wondering What A Little Lentil Looks Like R Babybumps

6 Week Pregnancy Scan 6 Week Ultrasound 6 Week Scan 6 Week Scan Photo International Ultrasound Services

5 Weeks Pregnanct Ultrasound Procedure Abnormalities And More

Possible Miscarriage Hi I M 6 Weeks Pregnant Today And I

What To Expect At Your Six Week Ultrasound Appointment

Post a Comment for "Can Ultrasound Detect Miscarriage At 6 Weeks"